千歳烏山駅西口より徒歩1分の歯科医院です。
当院では、痛みが不安な方や、お子さまでも安心して治療を受ける事を心がけております。
学校・お仕事終わりにお気軽にご来院ください。
千歳烏山6番街歯科
| 月 | 火 | 水 | 木 | 金 | 土 | 日 | |
| 09:30〜13:30 | ● | × | ● | ● | ● | ● | ● |
| 15:00〜19:30 | ● | × | ● | ● | ● | 15:00〜18:30 | |
【 休診日 】 火曜・祝日 (GW、お盆、年末年始含む)
“理解”と“満足”
患者様本人がわからないまま治療を行うのではなく、
口腔内に何が起こっていてどのような
治療方法があるのかを”理解”して頂いた上で、
一緒に”満足”できる治療方法の選択を行います。
ドクター紹介
千歳烏山6番街歯科 院長
岡江 啓太
日本
歯周病学会
認定医
こんにちは、千歳烏山6番街歯科 院長の岡江啓太です。
千歳烏山駅から徒歩1分の場所に構える当院は、1本ずつの歯を大切に虫歯や歯周病の治療や予防歯科を大切にし、根管治療、審美治療、インプラント、矯正治療、口腔外科、小児歯科、入れ歯、ホワイトニングまで、お口のお悩みに幅広くお応えできる地域に密着した歯医者です。
日本歯周病学会認定医在籍の当院は、一昔前の“痛くなったら行く” “困ったら行く”歯科医院から、令和の現代に合わせた“痛くなる前に予防する” 定期的に通う”歯科医院として皆さまのお口の健康やお悩みの解決に努めてまいります。
歯周病認定医とは?
歯周病認定医は、日本歯周病学会が認定する
歯周病の専門資格で、
歯周病の治療技術や知識の
試験に合格した歯科医師にのみ授与されます。
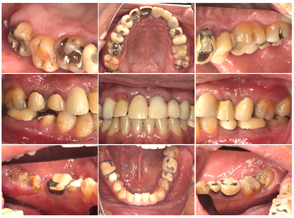
歯周病で多くの歯を失ってしまった方や、
歯周病が原因で抜歯を勧められている方、
歯周病の専門家に相談してみたいという方も、
ぜひ当院にお任せください。
当院では歯周病の治療だけでなく治療法のご提案や
セカンドオピニオンまで幅広く対応します。
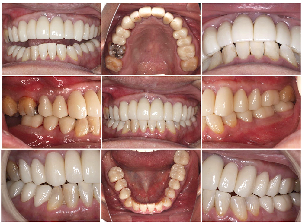
症例紹介
当院が選ばれる理由
-
ライフステージに合わせた
治療の選択幅広い選択肢をご提供できる当院だからこそ、性別、顎の大きさなどの骨格的問題、歯茎の状態や歯の大きさなどを考慮し、ご年齢やご希望に合わせて患者様ご本人を中心とした治療プランを一緒に考えてまいります。
-
長期安定化を目指した
歯科治療をご提供詰め物が取れてしまった時に、次に“どんな治療をするか”がその歯の寿命を大きく左右します。当院では原因を考え、状態を知っていただき、どんな治療を選んだ方が良いのかをしっかりとご説明いたします。
-
患者様の
デンタルIQの向上お口の事についてどれだけ知っているでしょうか。歯磨きの仕方や歯ブラシの選び方だけでなく、理想のお口の状態を知っていただき、ご自身のお口の中との違いを知ることで、どんな治療や予防が必要なのかをご説明いたします。
-
歯科治療における
選択肢の多様化ライフステージに合わせた治療を行うためには、多くの選択肢をご用意できてなければなりません。当院では多くのセミナーや学会に参加、所属した研鑽を積んだDrが、責任を持って患者様のお口の治療にあたります。
-
歯周病認定医の
院長が在籍
日本人の80%が歯周病に罹患していると言われ、抜歯の原因No.1は歯周病ということをご存知でしょうか?専門的な知識を有し、日本歯周病学会のガイドラインに則り「診査・診断」を行い「治療計画」をご立案いたします。
-
わかりやすく丁寧な
治療前の説明治療に入る前に十分な診査・検査を行います。お口の中の状態やその原因、大切な治療方法を十分な時間をかけご説明いたします。わからないことがございましたら、お気軽に担当医、担当衛生士にお尋ねください。
診療内容
千歳烏山の歯医者「千歳烏山6番街歯科」では
各分野の「あらゆるお悩み」に幅広く
対応しております。
お気軽にご相談ください。
こんなお悩み・不安はありませんか?
歯周病認定医による
精密なインプラント
※保険適応外の自由診療です。
-
本当に抜歯を
しなければいけないの? -
入れ歯が合わなくて
困っている -
できる限り
痛みの無い治療が良い -
眠っている間に治療を
済ませたい -
インプラント手術の
安全性が気になる -
他院での治療後の調整
やり直しをしたい
自分に合う治療方法がわからない方、
歯周病で歯を失ってしまった方、
他院でインプラントが難しいと言われた方は、
千歳烏山6番街歯科へ一度相談にお越しください。
既にインプラント治療を受けた方で、
ぐらぐらする、膿が出る、などの症状のある方も
お早めにご相談ください。
院内の紹介
治療の安全性と確実性を高める医療機器を完備。
患者様一人ひとりに合わせた
最適な医療をご提供するために、
当院では様々な医療機器を導入しています。
インスタグラム
クリニックの日常をInstagramで発信中

